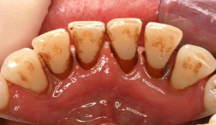
يعتبر الخل الأبيض هو أفضل وسيلة للتخلص من جير الأسنان فى المنزل. إليكم وصفة سهلة و بسيطة من الخل الأبيض و الليمون من الممكن أن تستخدم على الحوض مباشرة أو أن تضاف إلى معجون الاسنان.
المكونات:
كوب من الماء
عصر ليمون
خل ابيض
طريقة التحضير:
أضف إلى الماء ملعقتين كبيرتين من الخل الأبيض و بعض عصير الليمون ثم اخلطهم جيدا.
استعمل هذا الخليط كغسول للأسنان مرة يوميا لمدة أسبوع.
استخدم الفرشاة و المعجون مرتين على الأقل يوميا.
و هكذا يمكن التخلص من الجير بطريقة سهلة و بسيطة و اقتصادية أيضا.
.
وكالات
