
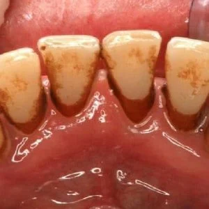
يعتبر الخل الأبيض هو أفضل وسيلة للتخلص من جير الأسنان فى المنزل. إليكم وصفة سهلة و بسيطة من الخل الأبيض و الليمون من الممكن أن تستخدم على الحوض مباشرة أو أن تضاف إلى معجون الاسنان.
المكونات:
كوب من الماء
عصر ليمون
خل ابيض
طريقة التحضير:
أضف إلى الماء ملعقتين كبيرتين من الخل الأبيض و بعض عصير الليمون ثم اخلطهم جيدا.
استعمل هذا الخليط كغسول للأسنان مرة يوميا لمدة أسبوع.
استخدم الفرشاة و المعجون مرتين على الأقل يوميا.
و هكذا يمكن التخلص من الجير بطريقة سهلة و بسيطة و اقتصادية أيضا.
.
وكالات
بتوجيهات من الرئيس أردوغان.. وزارة التربية تبدأ تنفيذ خطة إجراءات جديدة في المدراس التركية أعلن…
أكد زعيم حزب الحركة القومية التركي، دولت بهجلي، أن التعليم يمثل "مسألة بقاء وطني" تتجاوز…
وسط تفاقم أزمة الطاقة العالمية وإغلاق مضيق هرمز على خلفية الصراع الإيراني، أعلن الرئيس التركي…
فجر الصحفيان جان أوزجيليك وفاتح عتيق، عبر قناة "TGRT Haber"، مفاجأة مدوية من داخل سجن…
فجر وزير الخارجية الأوكراني، أندريه سيبيها، مفاجأة دبلوماسية من العيار الثقيل، بإعلانه تقديم طلب رسمي…
في خطوة أثارت صدمة في الأوساط الدبلوماسية والاقتصادية، عاد الجنرال موهوزي كاينيروغابا، رئيس أركان الجيش…
هذا الموقع يستعمل ملفات تعريف الارتباط (الكوكيز) لتحسين تجربة استخدامك.